
脑病科二病区主任李鹏 微创穿刺血肿清除术
脑病科是国家中医管理局重点专科,河南省中医脑病区域诊疗中心,河南省眩晕病诊疗中心洛阳分中心,中国中西结合学会眩晕分会委员单位、河南中西结合学会眩晕分会常委单位、河南省中西结合介入专业委员会副主任委员单位、洛阳市中西结合脑病主任委员单位、洛阳市首届中西结合眩晕病专业副主任委员单位、洛阳市神经介入专业委员会副主任委员单位、洛阳市脑卒中专业副主任委员单位等。
西工院区脑病科二病区秉承“传承创新、科学发展、严谨求精、勤奋奉献”的精神发展中医药,服务老百姓。科室医师团队是由中西结合医师、中医师、西医师、针灸推拿医师等组成的一支专业治疗脑神经系统疾病的中西结合团队,医护人员22人,其中高级职称3人,中级职称7人,硕士研究生4人。科室运用中西医结合方法治疗脑血管疾病、眩晕症、头痛、面神经炎、帕金森病、脑炎、神经免疫性疾病等脑神经系统疾病。目前科室是集医、教、研于一体的中西结合脑病(神经病学)专业特色学科。优势特色诊疗技术:
1.眩晕中心
是河南省眩晕病诊疗中心洛阳分中心,由眩晕门诊、前庭功能检查室、中西结合前庭功能康复室、病房组成的眩晕症中西结合一体化诊疗中心。

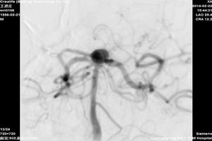
2.脑血管介入微创技术
主要开展急性脑梗死溶栓、取栓,颈动脉狭窄支架植入、颅内脑血管狭窄支架植入、动脉瘤栓塞,脑出血微创穿刺血肿清除术。

脑血管介入手术 科室查房

基地动脉尖动脉瘤术前 基底动脉尖动脉瘤术后

高血压脑出血的微创穿刺手术 术前 高血压脑出血的微创穿刺手术 术后

左椎动脉闭塞血管开通术前 左椎动脉闭塞血管开通术后

右椎动脉基底动脉串联狭窄术前 右椎基底动脉串联支架术后

左侧颈内动脉起始段狭窄术前 左侧颈内动脉起始段狭窄支架术后
3.脑神经疾病中医疗法
目前诊疗脑神经系统疾病是将西医的药物、手术方法与传统中医药疗法及时无缝隙结合,从而促进疾病回复,缩短病程,降低了致残率。目前主要中医疗法由辩证中药汤剂、针灸、火罐、穴位贴服、穴位注射等。










